Distalização em BLOCO relato de um caso

Autor: Humberto Soliva
Coordenador Geral do GEM;
Presidente da SOMA;
Professor Convidado de diversas entidades (ABOM, SOBRACOM, e outras)

O ano de 2003 será especialmente importante para a Ortopedia em nosso país, pois estaremos realizando dois eventos de grande importância, no mesmo local, Canela/RS, que será o 13° GEM nos dias 22, 23 e 24 de agosto e o 5° Simpósio Internacional de Ortopedia e Ortodontia nos dias 26-30 também de agosto. E não por acaso, os dois eventos serão no mesmo espaço, o Hotel Continental de Canela. A cada 2 anos, nós do GEM (Grupo de Estudos Maurício Vaz de Lima), nos reunimos para trocar experiências sobre a técnica elaborada e desenvolvida pelo Dr. Maurício. Serão 20 conferências com temas sobre a técnica e mais 8 mesas clínicas/demonstrativas. Nestas oportunidades, todos nós crescemos um pouco mais na técnica da Reabilitação Dinâmica e Funcional dos Maxilares (RDFM).

Venha você também compartilhar conosco as experiências e avanços em nossa técnica e curtir as delícias da serra gaúcha.

As informações adicionais poderão ser acessadas pelo site www.gemsobracom.hpg.com.br ou pelo telefone (21) 22872190.


Bem, nosso tema de hoje é muito importante para nós ortopedistas maxilares, que nos deparamos freqüentemente com problemas de falta de espaços. Independentemente da técnica ortopédica que dominamos e fazemos uso com sucesso, é importante saber que é possível recuperar espaços perdidos em ambas as arcadas, de forma eficiente e sem dificuldades, através do recurso encontrado pelo prof. Mauricio Vaz de Lima quando da criação da técnica da REABILITAÇÃO DINÂMICA E FUNCIONAL DOS MAXILARES.

O objetivo básico da distalização em bloco é aumentar significativamente o perímetro ósseo, permitindo assim o alinhamento dentário e a estabilização da oclusão.

Vamos apresentar então um caso diferente e com muitos detalhes.            

           
 
 

Fig. 1
Paciente aos 15 anos de idade, apresentando uma visível assimetria facial, e também má postura cervical.
O exame facial do paciente é importante, pois já podemos suspeitar da presença de alguma maloclusão pelo aspecto visual do paciente.
As vezes, é mais fácil observar a foto documental, onde dá para medir as diferenças na face.

       
 
 

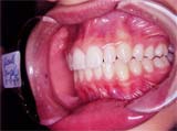
Fig. 2
Vista frontal da oclusão deste paciente, onde observamos o desvio dentário acompanhando o desvio facial. O mordida invertida dos elementos 13/43, geraram um fenômeno de adaptação excepcional. A ausência de bossa canina do elemento 13, por falta de função e o aparecimento de bossa canina no elemento 43 por excesso de estímulo.

       
 
 

Fig. 3
Observamos a posição ectópica do elemento 13, e planejamos um aparelho expansor na maxila, com ênfase ao elemento palatinizado em conseqüência da mordida cruzada.

       
 
 

Fig. 4
Entretanto, ao observar a arcada inferior, constatamos a falta de espaço para o 43 e o forte apinhamento dos incisivos, demonstrando a necessidade de intervenção primeiro nesta arcada.
Optamos então por iniciar distalizando o setor 4.

       
 
 

Fig. 5
O aparelho distalizador do setor direito, sem as cápsulas na região anterior, com intuito de estimular crescimento ósseo também nesta área, onde havia apinhamento. Observem que o elemento 43 está liberado do acrílico, para quando o espaço for recuperado, posicionar – se naturalmente, pela pressão labial.

       
 
 

Fig. 6
Ao posicionar a mandíbula em miocêntrica, através da mordida construtiva em acrílico, observamos que a oclusão dos elementos 13/43 ficou de topo, fato este que nos abriu a perspectiva de introduzir um acessório para descruzar mais rapidamente estes elementos.

       
 
 

Fig. 7
Na consulta seguinte, após um mês de bom uso do aparelho, introduzimos o acessório plano inclinado, para simular a ação de uma função canina artificial em acrílico.
Esta idéia poderia facilitar o meu próximo passo que seria o aparelho expansor superior.

       
 
 

Fig. 8
Para acelerar ainda mais o movimento, dando também o estímulo correto para o aparecimento da bossa canina do elemento 13, utilizamos o hiperbolóide, aplicado por 15 minutos 2 vezes ao dia, após as refeições. A textura e forma deste dispositivo de estimulo oclusal é perfeita para estímulo periodontal.

       
 
 

Fig. 9
Conseguido o espaço para o elemento 43, agora no 3° mês de tratamento, partimos para o expansor com arco de Hawley, cuja função é alinhar os incisivos e posicionar mais rapidamente o canino que agora está descruzado.

       
 
 

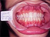
Fig. 10
Em menos de 5 meses, vemos a movimentação já terminada, com sensível melhora das condições oclusais, que agora podem se auto-estimular. Duas coisas nos chamam atenção neste caso, primeiro, é que não houve necessidade de aparatologia na arcada superior, segundo e mais importante, foi o aparecimento da bossa canina do elemento 13, respondendo ao estímulo do hiperbolóide.

       
 
 

Vista lateral direita fig.11





Vista lateral esquerda fig. 12,
demonstrando que o lado onde foi trabalhado agora se apresenta igual ao lado normal do paciente, como nunca houvesse uma mordida cruzada do lado direito. Tempo de tratamento ativo – 5 meses.

     
 
 
       
 
 

Fig. 13
8 meses pós-contenção, vista frontal, demonstrando linha média restaurada,  bossa canina bem estruturada no elemento 13 e o desaparecimento da bossa canina ectópica no elemento 43 confirmando que a natureza sabe o que fazer com o equilíbrio, porém quando há desequilíbrio cria adaptações para-funcionais.

       
 
 

Fig. 14
Após reaprender a mastigar, com a forma das arcadas recuperadas, e o auxílio do hiperbolóide, houve uma melhor harmonia facial, quase desaparecendo o desvio facial e cervical, harmonizando a musculatura, que agora pode exercer função de bilateralidade alternada, como foi projetado nosso sistema estomatognático. A distribuição correta das cargas oclusais é fator indispensável para a longevidade de nosso sistema oclusal.