
Mordidas Cruzadas Unilaterais Posturais
Autor: Humberto Soliva
Ortopedista Funcional dos Maxilares;
Coordenador Geral do GEM;
Presidente da SOMA;
Ministrador do curso de atualização em REABILITAÇÃO DINÂMICA E FUNCIONAL DOS MAXILARES – TÉCNICA Dr. MAURÍCIO VAZ DE LIMA na ABOM;
Professor convidado de inúmeras entidades de classe.
RESUMO
O objetivo do presente trabalho é demonstrar a necessidade de tratar as mordidas cruzadas posturais em sua globalidade, devolvendo ao sistema estomatognático, a forma adequada para o restabelecimento da função equilibrada. A filosofia ortopédica funcional contida na técnica da Reabilitação Dinâmica e Funcional dos Maxilares desenvolvida pelo Professor Maurício Vaz de Lima é enfática na busca da harmonia das funções do sistema estomatognático. Demonstrado no caso clínico ilustrativo, o que pretendemos modificar no complexo articular, quando as funções são restabelecidas.
Palavras chave: Sistema estomatognático; Mordidas cruzadas posturais; Oclusão.
ABSTRACT
The aim of this work is to demonstrate the importance of cross bite treatment, giving back to the stomatognatic system, the correct form and the equalized function. The Dento-facial Orthopedics philosophy contained in the Dynamic and Functional Rehabilitation of the Maxillary developed by prof. Maurício Vaz de Lima was emphatic to find the functions and harmony of the stomatognatic system. In the case, the author wants to show, that the changes in the TMJ complex are expected to happen, when the physiologic occlusion is provided.
Keywords: Stomatognatic system; Postural cross bite; Occlusion
INTRODUÇÃO
O termo mordida cruzada consagrou-se pelo uso, apesar de inadequado, porém é mais correto dizer mordida invertida ou laterognatia. Referindo-se a um tipo de má-oclusão que apresenta diferentes características e tratamentos também diversos, sendo descrita por inúmeros autores como a inversão de posição dentária entre as arcadas superior e inferior, criando uma situação traumática na qual um ou mais dentes posteriores superiores ocluem por lingual dos dentes inferiores.
O tratamento de mordidas cruzadas posteriores, unilaterais passa a ser bastante simples e eficaz quando lançamos mão de procedimentos adequados a cada caso começando por um correto diagnóstico diferencial entre os diferentes tipos de mordida invertida.
As pesquisas apontam este tipo de má-oclusão unilateral, aparecendo em cerca de 15% dos pacientes em dentição mista e dentre as mordidas cruzadas unilaterais, como sendo 80 % delas de ordem funcional(6), por conveniência oclusal, ou postural também chamadas de laterognatias ou falsas mordidas cruzadas, sendo este o tema deste artigo.
Temos observado também que a causa mais freqüente deste tipo específico de desvio funcional é a respiração bucal,(1) onde haverá uma notória compressão na maxila diminuindo as distâncias 4/4, 6/6 e 3/3.
Resulta que com esta atresia simétrica da maxila, ocorrendo um trauma oclusal compulsório, provocado pela oclusão de topo nas áreas mencionadas, criando condições propícias para um desvio no padrão oclusal e na postura da mandíbula, no sentido lateral.
Sendo as mordidas posteriores um dos mais danosos distúrbios oclusais causados pela respiração bucal, não poderemos nunca tratá-las corretamente sem passar antes pelo tratamento desta disfunção do sistema estomatognático. As observações clínicas que se seguem são fatores determinantes para diferenciar os dois tipos de mordida cruzada unilateral.
Dadas as implicações sobre o crescimento facial dos portadores de laterognatias deveremos observar primeiramente a face do paciente e verificar alguns princípios que nos ajudarão no correto diagnóstico:
Estes fatores foram observados pelo Professor Maurício Vaz de Lima(7) que desenvolveu e aperfeiçoou a técnica brasileira conhecida como Reabilitação Dinâmica e Funcional dos Maxilares, cujo lema é “levar o errado ao lugar certo” sem extrações de pré-molares nem desgastes seletivos. Os resultados obtidos com esta técnica ortopédica, através de encapsulamento em acrílico e tornilhos especiais são notadamente eficientes e rápidos.
Razões e época do tratamento: Este tipo de má-oclusão deve ser tratada assim que diagnosticada por várias razões, entre elas, o fato da mordida cruzada posterior não se corrigir espontaneamente, de provocar desgaste anormal sobre as superfícies oclusais dos dentes, desenvolver problemas periodontais por trauma oclusal, provocar interferências no desenvolvimento e crescimento normais dos arcos dentários, além de que nos casos de mordidas cruzadas funcionais, que apresentam um desvio lateral da mandíbula pela presença de interferências oclusais, há uma alteração na posição dos côndilos. O côndilo do lado cruzado desvia-se para posterior e superior, enquanto que do lado normal desloca-se para anterior e inferior da fossa mandibular. Pode apresentar também alterações de atividade muscular acompanhada de maior intensidade unilateral(3). A não correção destes desvios em idade precoce pode acarretar uma assimetria estrutural facial na idade adulta, transformando-se em grandes deformidades. Além destes fatores, o tratamento precoce das mordidas cruzadas posteriores, resulta numa erupção adequada dos sucessores permanentes, melhora na relação esqueléticas das bases apicais e proporciona um padrão de fechamento bucal sem desvios. O momento para o tratamento da mordida cruzada posterior é tão logo seja diagnosticada esta má-oclusão(11), porém deve-se levar em conta a maturidade e possibilidade de cooperação da criança.
DISCUSSÃO
A maioria dos autores concorda que o tratamento expansivo da arcada superior é o recomendado como passo necessário para adequar forma e função reconfigurando o sistema estomatognático, através de nova informação ao mecanismo reflexo da oclusão.
Assim sendo, na ortodontia fixa, vários profissionais lançam mão de expansão rápida da maxila, através de aparelhos como o Hyrax e o quadri-helix(8,9) que resultam num movimento dentário rápido, entretanto necessitando de uma contenção longa.
Em nossa técnica, executaremos expansão lenta: bilateral nos casos de mordida cruzada funcional, e expansão unilateral dirigida nos casos de mordida cruzada verdadeira ambas com ativação 3 x por semana, lembrando que após a expansão e recondicionamento oclusal através de exercícios específicos com hiperbolóide (instrumento de mastigação), não haverá necessidade de contenção.
Adicionamos também o fato das cápsulas de acrílico serem excelentes desprogramadores de postura errada, facilitando após a expansão, nos casos de mordida cruzada funcional uma rápida reposturação mandibular, uma vez que a placa de acrílico deve simular um equilíbrio através da mordida funcional em miocêntrica(10).
Isto é conseguido observando a linha média dentária do paciente quando este abre a boca, que deve coincidir com a linha média facial (observar os freios labiais). Fechando a boca, haverá um ponto onde há o reflexo neuropostural defensivo do trauma oclusal de topo, que leva a mandíbula para o lado de trabalho, criando um desvio no final do movimento. É este desvio que anularemos quando montamos a placa em miocêntrica, simulando um equilíbrio postural funcional, sem travamentos. Quando isto não ocorre de forma natural poderemos utilizar as aletas funcionais Gomes(4) ou Aleta Valter, que são recursos como barreiras de acrílico, adicionados na vestibular do aparelho, no lado de trabalho como que conduzindo a mandíbula para uma relação cêntrica e ao mesmo tempo afastando a influência compressiva do bucinador sobre a maxila. Este recurso adicional agiliza a reorganização postural e vem melhorando ainda mais nossa técnica. Não obstante, após o descruzamento deveremos eliminar a aleta unilateral e promover a bilateralidade, entrando agora com exercícios de mioterapia, através do hiperbolóide que é um instrumento de mastigação, veremos o efeito desta arma terapêutica em nossa casuística.
CONCLUSÃO
Para concluir este tema apresentaremos, como exemplo, um caso simples de mordida cruzada postural, desencadeada por respiração bucal em decorrência de uma rinite alérgica, a qual foi logo diagnosticada e convenientemente tratada. Observaremos também as prováveis implicações nas articulações temporomandibulares, estimuladas pelo uso do hiperbolóide com intuito de reprogramar o sistema estomatognático.
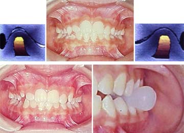
![]() |
Fig. 1 |
||
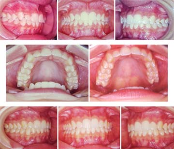
![]() |
Com apenas seis meses de tratamento, a harmonia facial é restabelecida e o desvio postural da mandíbula deixa de influenciar a face da paciente. |
||
![]() |
Modelos de hiperbolóides® descritos por seu autor Afrânio Cheida. |
||
clique na figura para ampliar |
||||||
Referências Bibliográficas |
|||
| ARAGÃO, Wilson. Ortopedia Funcional dos Maxilares. São Paulo: Pancast, 1992, p58. | |||
ARAÚJO, Fernando Farias & PRIETSCH, José Renato. Oclusão cruzada posterior: importância do diagnóstico e tratamento precoce. Revista da Faculdade de Odontologia, Porto Alegre, v. 36, nº 2, p. 29-33, dez., 1995. |
|||
| FERREIRA, Rafael. Causas e conseqüências da mastigação unilateral e métodos de diagnóstico do lado mastigatório com enfoque na Reabilitação Neuroclusal. Mundo da Ortopedia Funcional dos Maxilares e Ortodontia, v1, n1 p. 32-35 set/nov.2003 | |||
GOMES, Stellio, GOMES, Valter de Freitas & GOMES, Stenio. Tratamento das oclusões cruzadas unilaterais, utilizando-se a aleta funcional Gomes. Ortodontia, v. 32, nº 3, p. 83-90, set./dez., 1999. |
|||
GRIBEL, Marcos Nadler. Tratamento de oclusões cruzadas unilaterais posteriores com desvio postural mandibular com pistas diretas planas. Revista Dental Press de Ortodontia e Ortopedia Facial, v. 4, nº 5, p. 47-66, set./out., 1999. |
|||
| LANGLADE, Michel. Otimização terapêutica da incidência transversal das oclusões cruzadas unilaterais posteriores. 3. ed. São Paulo: Santos, 1998. | |||
| LIMA, M. V. & SOLIVA, Humberto. Reabilitação Dinâmica e Funcional dos Maxilares sem extrações. 3ª. ed. Rio de Janeiro, Pedro Primeiro, 1998, p.21. | |||
SILVA FILHO, Omar Gabriel, PINTO, Dilene Magalhães & ÁLVARES, Luis Casati. Alterações condilares associadas às oclusões cruzadas funcionais. Ortodontia, v. 25, nº 2, p. 41-51, maio/ago., 1992. |
|||
| SILVA FILHO, Omar Gabriel da et al. Correção da oclusão cruzada posterior na dentadura decídua. Ortodontia, v. 32, nº 3, p. 60-69, set./dez., 1999. | |||
| SOLIVA, Humberto. O tratamento das oclusões cruzadas unilaterais: posturais x estruturais, na visão da reabilitação dinâmica e funcional dos maxilares. Jornal Brasileiro de Ortodontia e Ortopedia Maxilar, v. 2, nº 11, p. 7-12, set./out., 1997. | |||
| SÁ FILHO, Floriano Peixoto. Bases Fisiológicas da Ortopedia Maxilar. 2ª. Ed. São Paulo: Santos, 1999 p.71 | |||
| VADIAKAS, George P. & ROBERTS, Michael W. Primary posterior crossbite: diagnosis and treatment. The Journal of Clinical Pediatric Dentistry, v. 16, nº 1, p. 1-4, 1991. | |||