Veja abaixo alguns Casos Antes e Depois do tratamento

 
Antes
Depois
 
 
clareamento antes
clareamento depois
 
 
 
clareamento dentario antes
clareamento dentario depois
 
 
 
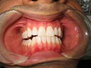
Ortodontia antes
Ortodontia depois
 
 
 
Reabilitação oral antes
Reabilitação oral depois
 
 
 
Clareamento dental antes
Clareamento dental depois
 
 
 
Ortodontia antes
Ortodontia final
 
 
 
Ortodontia antes
Ortodontia final
 
Reabilitação oral antes
Reabilitação oral depois
 
 
 
Ortodontia antes
Ortodontia depois
 
 
 
Reabilitação oral antes
Reabilitação oral depois
 
 
 
 
 
Ortodontia antes
Ortodontia depois
 
 
 
Ortodontia antes
Ortodontia depois

 

Reabilitação oral antes

 

Reabilitação oral depois